画像診断の発展を支える技術の進歩 ~「より早く」「より広く」「より詳細に」~
1. はじめに
世界人口白書によると日本の平均寿命は世界で最も長く、男性82歳、女性88歳であり、1995年からの四半世紀で男女ともに約5歳寿命が延伸している。日本をはじめ世界の先進国は、発展途上国に比し総じて寿命が長い。その理由には貧困などの因子もあるが、医療へのアクセスが良好であることも重要なファクターと言えよう。特に日本では国民皆保険制度により誰でもレベルの高い医療を受けることができ、その中に画像診断も含まれている。ここでは、医療を支えるツールとしての画像診断機器について紹介し、その発展に寄与してきた技術の進歩について記す。
2. 内部の状態を捉える
レントゲンが1895年にエックス線を発見したことは、のちに第一回ノーベル物理学賞を受賞したことが示すとおり、人類にとって大きな発見である。体内の状況を把握する手段としてエックス線を使った一般撮影装置(一般にレントゲン装置と呼ばれることも多い)は多くの医療機関で用いられ、整形や呼吸器、救急など初期診療のツールとして用いられている。エックス線は可視光線を通さない木や布などを透過し、透過の具合は物質の種類や厚さ、密度によって変化する。空気では透過しやすく、骨では透過しにくい。この性質を利用して胸部単純撮影などでは、空気の多い肺は黒く、椎体や肋骨は白く骨の陰影が映り込む。計測という観点では、照射するエックス線のエネルギーなどが判っていれば、エックス線の透過量を測定することで透過した物質の種類や厚さを推定することができる。
このように、画像診断機器は各種物理現象を利用して身体の内部を可視化する機器のことで、体内の状態を捉えるために、放射線や音波、光、磁気などが用いられている。
一般撮影装置と同様に、エックス線を利用して体内の情報を得る装置にCT装置があるが、後述するように、エックス線の透過データを再構成し、被写体の断層面を得るものであり、現在の画像診断においては欠かせないほど多くの情報をもたらす装置となっている。
外観はCT装置に似た円筒状で、電磁波を利用して断層像を得るのがMR装置である。装置からは強い磁気が発生しており鉄などの磁性体を検査室に持ち込むことができないなど、注意も必要だが、電磁波により体内の水の挙動を捉えるもので、エックス線を使用しないため被ばくがない。血管の形状を薬剤(造影剤)を用いずに描出することも可能である。
また、音の反射を信号として画像化し断層像を得るものが超音波診断装置である。プローブと言われる探触子を被写体に密着させ、耳には聞こえない音(超音波)を照射し、被写体内での音の反射を計測し、画像化する。エックス線を用いていないこともあり、使用場所の制限を受けにくく、画像診断機器のなかでも小型で可搬可能であることもあり、さまざまな医療現場に持ち込まれて使用されている。

3. 画像情報の描出
エックス線が医療に応用され100年以上経過しているが、当初は蛍光板にエックス線を照射し放射線の蛍光作用を利用し観察していた。照射されたエックス線は体内の各臓器のエックス線吸収率に応じて減弱される。その結果、蛍光板には臓器の吸収率に応じた陰影が映し出される。
4. 画像診断装置の進歩とCT装置
「より早く」「より広く」「より詳細に」。これらは、さまざまな情報の収集、分析、表示に関わる共通の目標であると言える。画像診断装置においても、これらを向上すべくさまざまな技術革新が行われてきた。それらを理解しやすく実現してきたCT装置を例に挙げ、説明する。
①高速化;スリップリングによる連続回転
CT装置では、エックス線を多方向から照射し得られた透過データを再構成し、撮影した物体の断層像を得るものである。再構成方法については割愛するが、高速化、高精度化などの技術革新が現在もなお続けられている。
CTの撮影は、体の周りにX線管と検出器を回転させ多方向からの透過データを得るのだが、CTが開発された当初は撮影に数分かかっていた。そのため呼吸などの動きの影響がある部位は適応外で、動きの影響が少ない頭部専用であった。全身への適応拡大のニーズは大きく、撮影範囲の拡大はもちろん高速化などが図られた。
CT撮影の高速化について、革新的な技術開発の一つと言えるのがスリップリングの採用である。このことがその後のCT撮影の高速化に果たした影響は大きい。前述の通りCTは多方向からのエックス線透過データを再構成するため、X線管や検出器を被写体の周りで回転させ、多方向の透過データを収集する必要がある。ここでX線管とX線検出器は電力の供給や信号の取り出しのためケーブルで繋がれており、一方向に回転し続けるとケーブルによじれを生じさせることから、右回転した後には左回転するように、反復回転が必要であった。反復回転では加速と減速、停止が繰り返されるため、高速化には限界がある。
そこで、スリップリングを採用した。スリップリングは、電車のパンタグラフと架線の関係のようにリング状の電極部とブラシにより構成されており、回転体に外部から電力供給や電気信号の伝達が可能である。スリップリングを採用したことで連続回転によるCT撮影が可能になった。連続回転では高速に回転させ続けることが可能であり、回転速度の向上など撮影の高速化が図られた。
また、連続回転が可能になったことから、連続回転撮影中に被写体を回転軸方向に移動させながら撮影するヘリカルスキャンも可能になった。図4に連続回転でのCT撮影の撮影時間と撮影範囲を示す。ヘリカルスキャンは、短時間に広い撮影範囲を連続的にスキャンできることがわかる。

②多列化;マルチスライスCT
初期のCTは、1回転で1断面を得るシングルスライスであったが、X線検出器の列を増やし1回転で複数の断層画像を収集するマルチスライスとなった。1列が2列、4列、16列、64列といったように多列化が進み、現在では320列の検出器が並べられ、1回転で0.5 mm厚の断面を320列同時に撮影することができる。すなわち16cm幅のボリュームを1回転で撮影でき、それは心臓や全脳のような臓器全体を1回転で撮影できることを意味する。連続回転のままでスキャンすれば臓器全体の血流や動作などの、動きも捉えることができ、形態だけでなく機能情報も得られるようになった。この16cm幅の収集が可能なCTをarea detector CT(ADCT)と称している。
③高精細;空間分解能が従来の2倍
高精細画像を得るために、X線検出器だけでなく、X線管や撮影寝台の機構含め、CT装置の核となるコンポーネントすべてを刷新し、高精細CTを開発した。
X線検出器では新たなシンチレーターを採用し、さらに精緻な加工技術と製造技術によって、X線検出器を体軸方向に従来の1/2(0.25㎜)とし、面内方向に従来の2倍(1,792ch)の素子を配列した。図5に肺の画像の一部を示す。

図5 高精細CTとの比較
高精細CTにより、すりガラス陰影、気管支、血管などの詳細構造を観察できる。このことから、腫瘍などの質的診断への貢献が期待されている。
5. AIの応用
近年、さまざまな領域に人工知能(AI;Artificial Intelligence)が用いられており、画像診断装置についても同様である。当社が取り組んだ、深層学習(DL;Deep Learning)を用いて設計された再構成技術を紹介する。
①DLを用いて設計された再構成技術AiCE
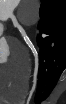
画像の信号成分とノイズ成分を高度に識別する再構成技術として当社が開発した、Advanced intelligent Clear-IQ Engine (AiCE)*がある。これは、Deep Convolutional Neural Network (DCNN)を用いて信号成分とノイズ成分を識別し、CTの画像再構成に適用したもので、ノイズ成分が多くなりやすいエックス線高吸収領域や低線量条件下でもノイズが抑えられた画質が得られる。図6は、腎機能が低下した患者の造影撮影画像であるが、腎臓への負荷軽減のため造影剤使用量を少量(170mgI/lg:30ml)とし、コントラストを高めることと被ばくを低減するために低管電圧(80kVp)でCT撮影し、AiCEを用いて再構成した画像である。低管電圧であるため、被写体に照射されるエックス線量は抑えられるが、信号成分となる被写体を透過してきたエックス線量も減少するため、ノイズが多くなりやすい。AiCEでは信号成分とノイズ成分を識別するためノイズの影響を抑えた画像が再構成されている。


- 左:cMPR(curved Multiplanar Reconstruction)法処理画像
- 右:ボリュームレンダリング法処理画像
②超解像画像再構成技術PIQE
Precise IQ Engine (PIQE)*はDLを応用した超解像画像再構成技術であり、従来のADCTの画像を高精細化するものである。教師データに高精細CTの高精細モード(0.25mm×1792ch)で収集したデータを用いて、DCNNを学習させる。そのDCNNをADCTに実装し再構成することでADCTで撮影された画像の空間分解能の向上効果が得られている。


- 左:従来の再構成
- 右:PIQEによる再構成 高分解能とノイズ低減効果が確認できる
6.課題と展望
CTは1970年代初旬に英国EMI社により開発された。それから半世紀の時が流れ、その時々に立ちはだかる課題をさまざまな技術開発により解決してきた。「より早く」「より広く」「より詳細に」については、高度なレベルで解決したと言ってよいだろう。これらに加えて、放射線を用いる画像診断装置では、被ばくを少なくすることも重要であり、AiCEなどにより低線量でのCT撮影も実現してきた。
今後も、X線検出器などを改良し、X線フォトンをエネルギー毎に分けた収集を行い、透過物質に対しエネルギー情報を用いた複数種の物質弁別を実現させるなど、幅広い領域における新たな臨床価値の探求を目指していく。











